Free Gingival Grafts: What to Expect
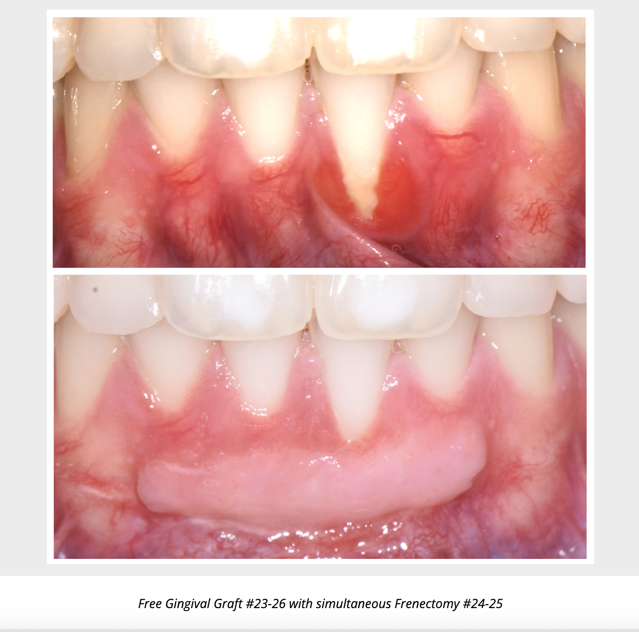
Although root‑coverage techniques get most of the headlines, the traditional free gingival graft (FGG) remains the gold standard when the primary goal is to increase the width and thickness of keratinized tissue rather than cover recession. Current consensus and systematic reviews confirm that an FGG is indicated when keratinized tissue is < 2 mm and the site is symptomatic (plaque‑induced discomfort, progressive recession), when a shallow vestibule or high frenum limits hygiene, before orthodontic or prosthetic therapy, and around implants where a robust cuff is desirable to resist peri‑implant mucositis.
Long‑term data show that a single FGG can gain 3–5 mm of keratinized tissue, with approximately 30–40 % early shrinkage yet stable dimensions for decades; Agudio documented stability at 10–25 years. Patient-reported morbidity has significantly improved thanks to palatal protection protocols, which are always made for our patients here at Tyler Periodontics & Dental Implants!
The expected clinical result is a firm, resilient band of keratinized gingiva that is plaque‑tolerant and easier for the patient to clean. Meta‑analyses around teeth and implants report an average 90% graft survival and ≤ 0.5 mm additional recession over three years. Color mismatch is common initially but blends appreciably within 6–12 months. Post‑operative discomfort at the donor site is the chief complaint, but a palatal stent can cut pain scores by 40%. Taken together, the literature supports telling patients that—after an uncomfortable first week—the graft will feel “like normal gum” and will not need retreatment in most cases.
Common Questions:
-
“Where does the tissue come from?” — A small piece of tissue from the roof of your mouth; it heals like a scraped knee in about two weeks.
-
“Will it be painful?” — Expect donor‑site soreness consistent with a pizza burn sensation for 3‑5 days; most people manage with over‑the‑counter analgesics or the protective stent for the roof of your mouth we provide.
-
“How long before I can brush there?” — Brush everywhere else immediately; the grafted site itself will be left alone or covered with a wound dressing until your follow‑up at two weeks.
-
“Will the color match?” — It may look lighter at first, but studies show it blends well over several months.
-
“Is there an alternative?” — For root coverage we sometimes use a connective‑tissue graft or a donor tissue graft (Alloderm), but when the goal is to add durable keratinized tissue, the free gingival graft is still the most predictable.
-
“How long does it last?” — Studies show that the free gingival graft has very high predictability in both the short and long term, lasting as long as 20+ years!






