Oral Lichen Planus: Recognition, Diagnosis, and Management
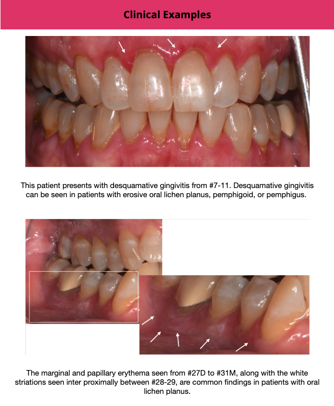
Oral lichen planus (OLP) is a chronic inflammatory condition we encounter with some regularity; thus, reviewing its presentation and management can help patients find quicker answers and symptom relief. Clinically, OLP most commonly appears as bilateral white reticular striations (Wickham’s striae) on the buccal mucosa, though it can often also present as erythematous, erosive, or ulcerative lesions on the gingiva, tongue, and palate. Patients typically report a range of symptoms depending on the subtype; those with reticular forms may be asymptomatic, while erosive or atrophic variants often cause significant burning, sensitivity to spicy or acidic foods, and discomfort during oral hygiene. When you see these patterns, especially the characteristic lacy white lines or persistent gingival erythema that doesn’t respond to improved hygiene, lichen planus should be on your differential.
A tissue biopsy is essential for definitive diagnosis, as OLP can mimic other conditions including lichenoid drug reactions, pemphigoid/pemphigus, and even squamous cell carcinoma. Because OLP carries a small but meaningful risk of malignant transformation (estimated at 1–2% over time), histopathologic confirmation allows us to establish a baseline and counsel patients appropriately. For this same reason, we recommend annual monitoring of lichen planus patients to detect any dysplastic changes early. Alternating hygiene or maintenance visits allows us to closely monitor shared lichen planus patients and manage their need for prescription refills or repeat biopsy without the need for extra office visits.
In our office, we typically manage symptomatic OLP with a three-pronged approach:
1. A topical corticosteroid (typically clobetasol gel) applied to affected areas, often using custom medicine delivery trays
2. Switching toothpaste to reduce mucosal irritation (typically Crest Kids Sparkle)
3. Implementing an elimination diet to identify potential triggers (cinnamon, artificial tomato products, sodas, candies/gums/mints, and artificial sweeteners)
This combination provides relief for most patients while we continue long-term surveillance. If you have patients presenting with these findings, please don’t hesitate to send them our way for evaluation and biopsy.






